Male pattern baldness , Female Pattern Baldness , Common Balding
AGA is the most common type of Non scaring Alopecia , suffered by majority
of the patients.
Mechanism of Action

In the Body testosterone is converted to DHT by 5-alpha Reductase Enzyme. This Dht molecule is Responsible for Hair thinning , Crown Baldness & Reseeding Hair line or male pattern Baldness.


Situation in which possibility of genetic hair loss is very poor :
1) If your Age is less than 22 or more than 48 years
2) If your Parents have no history of Hair loss and your Siblings have good hair too
3) You have history of Dandruff and infection for quite a long time along with Hair loss.

How to Confirm Androgenetic Alopecia ?
Normally Terminal Hair : Vellus Hair Ratio 7:1 i.e if you 8 hair in your hand 7 will be thich and mature and 1 will be thin
In AGA (Androgenetic Alopecia) the is ratio 4:1 every 4th hair will be thin
What to Confuse AGA with ; Differential Diagnosis
Telogen Effluvium
- Main complaint hair shedding hoti hai, na ki hair thinning
- Shedding sirf crown ya hairline tak limited nahi hota
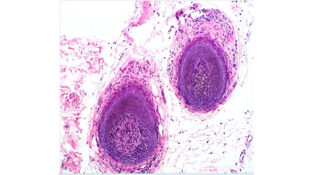
Diffuse Alopecia Areata
- Achanak se diffuse hair shedding, jo patchy pattern me dikh sakta hai
- Eyebrows aur eyelashes bhi affect ho sakte hain
- Exclamation Hair Sign – Trichoscopy pe dikhai deta hai
- Swarm of Bees Sign – Scalp biopsy me lymphocytes hair bulb ke aas paas jama dikhte hain
Case of Alopecia Areata , Showing Swarm of Bees on Microscopy

Exclamation hair sign , as Seen on Trichoscopy

